продукты
Хорошая цена  онлайн

Подробная информация о продукции

Created with Pixso. Дом Created with Pixso. продукты Created with Pixso.
Стоматологическая биомиметическая эстетика
Created with Pixso. Кейс о циркониевых зубных коронках | Глобальный аутсорсинг лабораторий - Joydentalab

Кейс о циркониевых зубных коронках | Глобальный аутсорсинг лабораторий - Joydentalab

Наименование марки: Joydenta
МОК: Гибкий
Время доставки: 4 рабочего дня
Условия оплаты: T/T paypal
Подробная информация
новый вебсайт:
www.joydenta-lab.com
новый вебсайт:
https://joydenta-lab.com/en/
Упаковывая детали:
Пузырька с коробкой
Поставка способности:
500 случаев / день
Выделить:

Зеркониевые протезы с естественным внешним видом

,

Зубная циркония

,

искусственные зубы

Характер продукции

Клинический случай циркониевой коронки – Премиальный глобальный аутсорсинг от Joydentalab

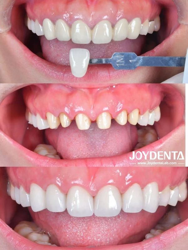
В этом клиническом случае представлена вторичная реставрация для пациента, который ранее получил металлокерамические коронки много лет назад. Со временем пациент захотел перейти на более естественное, долговечное и эстетически продвинутое решение. Стоматологическая клиника выбрала систему циркониевых коронок производства JOY Dental Lab, и результат стал явным шагом вперед как в точности, так и в эстетических характеристиках.

Как показано на изображениях, разница между старым протезом и новой циркониевой реставрацией значительна. Обновленная циркониевых коронок обеспечивает:

  • Улучшенную точность цвета и полупрозрачность

  • Уточненную анатомическую форму, которая гармонично интегрируется с естественным зубным рядом пациента

  • Превосходную долгосрочную прочность и стабильность

  • Биосовместимые материалы, подходящие для чувствительных пациентов

Стоматологическая клиника и пациент остались довольны конечным результатом. Реставрация имеет естественный, очень реалистичный вид, подтверждая, почему цирконий остается одним из самых надежных материалов в современной реставрационной стоматологии.


Почему глобальные зуботехнические лаборатории выбирают JOY Dental Lab для циркониевых реставраций

Как премиальная зуботехническая лаборатория, специализирующаяся на международном аутсорсинге, JOY Dental Lab поддерживает зуботехнические лаборатории в Соединенных Штатах, Австралии и Соединенном Королевстве высокоточными циркониевыми решениями.

Наши преимущества включают:

  • Последовательность цифрового дизайна благодаря передовому рабочему процессу CAD/CAM

  • Высокопрочные многослойные циркониевые материалы

  • Стабильное время выполнения заказов для глобальных клиентов

  • Строгий контроль качества для обеспечения предсказуемых результатов

  • Профессиональное общение для долгосрочного сотрудничества лабораторий на расстоянии

Независимо от того, требуются ли вам одиночные случаи, циркониевые мосты на весь зубной ряд или реставрации с опорой на имплантаты, мы обеспечиваем надежную поддержку производства, адаптированную для глобальных зуботехнических лабораторий.


Сотрудничайте с надежной глобальной аутсорсинговой лабораторией

Если ваша клиника или лаборатория ищет надежного партнера для изготовления циркониевых коронокJOY Dental Lab обеспечивает точность изготовления, естественную эстетику и отличный международный сервис.

Мы приглашаем зуботехнические лаборатории со всего мира к сотрудничеству и улучшению результатов реставрации с помощью высококачественного циркониевого мастерства.

СОБЩЕННЫЕ ПРОДУКТЫ
Хорошая цена  онлайн

Подробная информация о продукции

Created with Pixso. Дом Created with Pixso. продукты Created with Pixso.
Стоматологическая биомиметическая эстетика
Created with Pixso. Кейс о циркониевых зубных коронках | Глобальный аутсорсинг лабораторий - Joydentalab

Кейс о циркониевых зубных коронках | Глобальный аутсорсинг лабораторий - Joydentalab

Наименование марки: Joydenta
МОК: Гибкий
Подробная информация об упаковке: Пузырька с коробкой
Условия оплаты: T/T paypal
Подробная информация
Фирменное наименование:
Joydenta
новый вебсайт:
www.joydenta-lab.com
новый вебсайт:
https://joydenta-lab.com/en/
Количество мин заказа:
Гибкий
Упаковывая детали:
Пузырька с коробкой
Время доставки:
4 рабочего дня
Условия оплаты:
T/T paypal
Поставка способности:
500 случаев / день
Выделить:

Зеркониевые протезы с естественным внешним видом

,

Зубная циркония

,

искусственные зубы

Характер продукции

Клинический случай циркониевой коронки – Премиальный глобальный аутсорсинг от Joydentalab

В этом клиническом случае представлена вторичная реставрация для пациента, который ранее получил металлокерамические коронки много лет назад. Со временем пациент захотел перейти на более естественное, долговечное и эстетически продвинутое решение. Стоматологическая клиника выбрала систему циркониевых коронок производства JOY Dental Lab, и результат стал явным шагом вперед как в точности, так и в эстетических характеристиках.

Как показано на изображениях, разница между старым протезом и новой циркониевой реставрацией значительна. Обновленная циркониевых коронок обеспечивает:

  • Улучшенную точность цвета и полупрозрачность

  • Уточненную анатомическую форму, которая гармонично интегрируется с естественным зубным рядом пациента

  • Превосходную долгосрочную прочность и стабильность

  • Биосовместимые материалы, подходящие для чувствительных пациентов

Стоматологическая клиника и пациент остались довольны конечным результатом. Реставрация имеет естественный, очень реалистичный вид, подтверждая, почему цирконий остается одним из самых надежных материалов в современной реставрационной стоматологии.


Почему глобальные зуботехнические лаборатории выбирают JOY Dental Lab для циркониевых реставраций

Как премиальная зуботехническая лаборатория, специализирующаяся на международном аутсорсинге, JOY Dental Lab поддерживает зуботехнические лаборатории в Соединенных Штатах, Австралии и Соединенном Королевстве высокоточными циркониевыми решениями.

Наши преимущества включают:

  • Последовательность цифрового дизайна благодаря передовому рабочему процессу CAD/CAM

  • Высокопрочные многослойные циркониевые материалы

  • Стабильное время выполнения заказов для глобальных клиентов

  • Строгий контроль качества для обеспечения предсказуемых результатов

  • Профессиональное общение для долгосрочного сотрудничества лабораторий на расстоянии

Независимо от того, требуются ли вам одиночные случаи, циркониевые мосты на весь зубной ряд или реставрации с опорой на имплантаты, мы обеспечиваем надежную поддержку производства, адаптированную для глобальных зуботехнических лабораторий.


Сотрудничайте с надежной глобальной аутсорсинговой лабораторией

Если ваша клиника или лаборатория ищет надежного партнера для изготовления циркониевых коронокJOY Dental Lab обеспечивает точность изготовления, естественную эстетику и отличный международный сервис.

Мы приглашаем зуботехнические лаборатории со всего мира к сотрудничеству и улучшению результатов реставрации с помощью высококачественного циркониевого мастерства.

СОБЩЕННЫЕ ПРОДУКТЫ