продукты
Хорошая цена  онлайн

Подробная информация о продукции

Created with Pixso. Дом Created with Pixso. продукты Created with Pixso.
Стоматологическая биомиметическая эстетика
Created with Pixso. Популярные продукты Joydentalab: симулированные эстетические фанеры

Популярные продукты Joydentalab: симулированные эстетические фанеры

Наименование марки: Joydenta
МОК: Гибкий
Время доставки: 4 рабочего дня
Условия оплаты: T/T paypal
Подробная информация
новый вебсайт:
www.joydenta-lab.com
новый вебсайт:
https://joydenta-lab.com/en/
Упаковывая детали:
Пузырька с коробкой
Поставка способности:
500 случаев / день
Выделить:

симулированные стоматологические фанеры эстетические

,

зубные фанеры с гарантией

,

популярные эстетические зубные фанеры

Характер продукции
Популярные продукты Joydentalab: имитация эстетических виниров
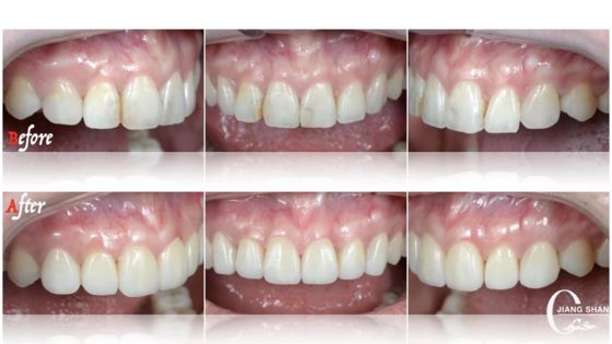
Преобразите улыбки с помощью реалистичных эстетических виниров - пример из практики

В нашей зуботехнической лаборатории мы гордимся изготовлением премиальных, изготовленных на заказ эстетических виниров, которые идеально сочетаются с естественным зубным рядом. Наше недавнее сотрудничество с ведущей стоматологической клиникой привело к еще одной потрясающей трансформации улыбки, и мы рады поделиться этим исключительным случаем с вами.

Пациент обратился со следующими проблемами: Обесцвеченные, неровные зубы, влияющие как на эстетику, так и на уверенность в себе.

После: Сияющая, симметричная и естественная улыбка, говорящая сама за себя.

Используя наши высококачественные фарфоровые виниры, разработанные с точностью и художественным подходом, мы создали набор тонких, прочных ламинатов, которые идеально имитируют светоотражающие свойства натуральной эмали. Результат? Безупречная, долговечная улыбка, которая выглядит и ощущается аутентично.

Почему стоит выбрать наши зубные виниры?
  • Индивидуальный подход: Каждый винир разрабатывается в цифровом формате и дорабатывается вручную, чтобы соответствовать чертам лица пациента и желаемому результату.
  • Биосовместимость: Мы используем только премиальные, устойчивые к пятнам материалы для реалистичного внешнего вида и долговечности.
  • Минимально инвазивные: Наши ультратонкие виниры требуют минимального или вообще никакого уменьшения зуба, сохраняя естественную структуру зуба.

Этот случай является свидетельством того, чего может достичь современная косметическая стоматология при наличии правильного опыта и материалов. Если вы стоматолог, желающий предложить преображение улыбки, или пациент, ищущий повышение уверенности в себе, наша зуботехническая лаборатория - ваш надежный партнер в достижении эстетического совершенства.

Присоединяйтесь к бесчисленному количеству довольных клиник и пациентов по всему миру, которые испытали преобразующую силу эстетических виниров. Позвольте нам помочь вам создать красивые, здоровые улыбки, которые будут радовать вас долгие годы.

#преображение #индивидуальныевиниры #зуботехническаялаборатория #естественныевиниры #минимальноинвазивныевиниры #премиальнаязуботехническаялаборатория #керамическиевиниры #эстетикадизайнаулыбки #случаивиниров #международнаязуботехническаялаборатория
СОБЩЕННЫЕ ПРОДУКТЫ
Хорошая цена  онлайн

Подробная информация о продукции

Created with Pixso. Дом Created with Pixso. продукты Created with Pixso.
Стоматологическая биомиметическая эстетика
Created with Pixso. Популярные продукты Joydentalab: симулированные эстетические фанеры

Популярные продукты Joydentalab: симулированные эстетические фанеры

Наименование марки: Joydenta
МОК: Гибкий
Подробная информация об упаковке: Пузырька с коробкой
Условия оплаты: T/T paypal
Подробная информация
Фирменное наименование:
Joydenta
новый вебсайт:
www.joydenta-lab.com
новый вебсайт:
https://joydenta-lab.com/en/
Количество мин заказа:
Гибкий
Упаковывая детали:
Пузырька с коробкой
Время доставки:
4 рабочего дня
Условия оплаты:
T/T paypal
Поставка способности:
500 случаев / день
Выделить:

симулированные стоматологические фанеры эстетические

,

зубные фанеры с гарантией

,

популярные эстетические зубные фанеры

Характер продукции
Популярные продукты Joydentalab: имитация эстетических виниров
Преобразите улыбки с помощью реалистичных эстетических виниров - пример из практики

В нашей зуботехнической лаборатории мы гордимся изготовлением премиальных, изготовленных на заказ эстетических виниров, которые идеально сочетаются с естественным зубным рядом. Наше недавнее сотрудничество с ведущей стоматологической клиникой привело к еще одной потрясающей трансформации улыбки, и мы рады поделиться этим исключительным случаем с вами.

Пациент обратился со следующими проблемами: Обесцвеченные, неровные зубы, влияющие как на эстетику, так и на уверенность в себе.

После: Сияющая, симметричная и естественная улыбка, говорящая сама за себя.

Используя наши высококачественные фарфоровые виниры, разработанные с точностью и художественным подходом, мы создали набор тонких, прочных ламинатов, которые идеально имитируют светоотражающие свойства натуральной эмали. Результат? Безупречная, долговечная улыбка, которая выглядит и ощущается аутентично.

Почему стоит выбрать наши зубные виниры?
  • Индивидуальный подход: Каждый винир разрабатывается в цифровом формате и дорабатывается вручную, чтобы соответствовать чертам лица пациента и желаемому результату.
  • Биосовместимость: Мы используем только премиальные, устойчивые к пятнам материалы для реалистичного внешнего вида и долговечности.
  • Минимально инвазивные: Наши ультратонкие виниры требуют минимального или вообще никакого уменьшения зуба, сохраняя естественную структуру зуба.

Этот случай является свидетельством того, чего может достичь современная косметическая стоматология при наличии правильного опыта и материалов. Если вы стоматолог, желающий предложить преображение улыбки, или пациент, ищущий повышение уверенности в себе, наша зуботехническая лаборатория - ваш надежный партнер в достижении эстетического совершенства.

Присоединяйтесь к бесчисленному количеству довольных клиник и пациентов по всему миру, которые испытали преобразующую силу эстетических виниров. Позвольте нам помочь вам создать красивые, здоровые улыбки, которые будут радовать вас долгие годы.

#преображение #индивидуальныевиниры #зуботехническаялаборатория #естественныевиниры #минимальноинвазивныевиниры #премиальнаязуботехническаялаборатория #керамическиевиниры #эстетикадизайнаулыбки #случаивиниров #международнаязуботехническаялаборатория
СОБЩЕННЫЕ ПРОДУКТЫ